Ce aparat cu ultrasunete sa cumparati?
Atunci cand doriti sa investiti in aparatura medicala moderna, alegerea unui aparat cu ultrasunete performant este esentiala pentru a oferi pacientilor diagnostice precise si servicii de calitate. Numeris Medical va pune la dispozitie o gama variata de ecografe VINNO, recunoscute pentru calitatea imaginii, tehnologiile inovatoare si raportul optim intre performanta si pret.
De ce sa alegeti un ecograf VINNO?
Ecografele VINNO sunt dezvoltate pe baza unor tehnologii inovatoare precum:
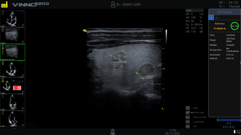
- Noua platformă software VLucid+ – aceasta noua tehnologie aprofundează detaliile imaginilor, are o viteză mai mare de procesare si functii de inteligenta artificiala pentru a va eficientiza timpul de examinare si diagnosticare al pacientilor.
- VSpeckle – foloseste algoritmi de procesare adaptiva pentru a elimina zgomotul din imagini, fara sa se piarda informatia esentială. Acest lucru este un avantaj util în examinarea organelor cu textura complexa (ficat, tiroida, pancreas), unde diferentele subtile conteaza.
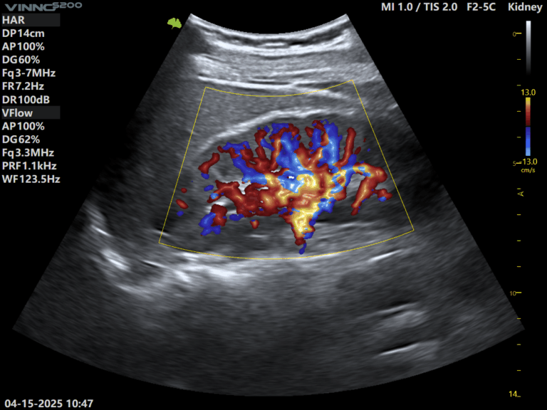
- VFusion – Aceasta functie face ceea ce numim „image compounding”: combina mai multe imagini captate din unghiuri diferite intr-o singura imagine finala, constituind un avantaj in diferentierea leziunilor de tesutul sănătos. Este folosita in radiologie, imagistica abdominala si musculoscheletala, unde claritatea si detaliile fac diferenta.
- VTissue – in mod normal, medicul trebuie sa ajusteze manual setarile (gain, focus, frecventa) in functie de organul examinat. Cu functia VTissue, se recunoaste tipul de tesut si astfel se optimizeaza automat parametrii imaginii pentru vizualizare maxima.
Aceste funcții aduc un echilibru intre AI, claritate si eficienta, ceea ce le face extrem de atractive pentru o clinica care doreste sa combine tehnologia de top cu un flux de lucru rapid. Iar un simplu aparat cu ultrasunete se transforma intr-un echipament de diagnosticare complex, care sustine atat examene de rutina, cat si investigatii avansate.
Ecograful VINNO S200: solutia pentru clinici multidisciplinare
Ecograful VINNO S200 este versatil si performant, recomandat clinicilor care au nevoie de un echipament fiabil pentru diverse specialitati: interne, gastroenterologie, ginecologie, ecografie generala etc.




Caracteristici principale:
- Calitate superioara a imaginii datorita platformei software VLucid+
- Interfata intuitiva si flux de lucru eficient
- Functii avansate precum module cu AI, elastografie si Doppler color de inalta rezolutie
Avantaje pentru clinici:
- Precizie ridicata in diagnostic
- Ergonomie si usurinta in utilizare
- Suport pentru examinari complexe
- Pret avantajos
Ecograf VINNO S300: performanta si inovatie in practica medicala
Ecograful VINNO S300 este un model mai recent, creat pentru a raspunde cerintelor medicilor care doresc atat calitate superioara a imaginii, cat si functionalitati inteligente.





Caracteristici principale:
- Imagini clare 2D si evaluare precisa a fluxului sanguin
- Modul Ultrasense pentru optimizare automata
- Design ergonomic, potrivit pentru examinari frecvente
Avantaje pentru clinici:
- Ideal pentru aplicatii musculo-scheletice, gastroenterologie si obstetrica
- Reduce timpul de examinare prin automatizare
- Raport excelent pret-performanta
Cum alegeti corect ecograful pentru clinica medicala?
- Daca doriti un model premium: VINNO G65 este ideal pentru clinici cu volume mari de pacienti si aplicatii complexe
- Daca aveti nevoie de mobilitate: VINNO 10 este alegerea potrivita pentru cabinetele care doresc un ecograf cu performante superioare si greutate redusa
- Daca doriti un echipament compact si accesibil: VINNO S200, VINNO S300 sau VINNO R300 aduc un echilibru perfect intre pret si performanta
Alegerea unui ecograf VINNO inseamna investitie in aparatura medicala moderna, cu beneficii atat pentru medici, cat si pentru pacienti.
Indiferent daca aveti nevoie de dispozitiv pentru cercetare, echipamente de diagnosticare avansata sau aparat cu ultrasunete pentru uz general, reprezentantii Numeris va ajuta sa alegeti un ecograf VINNO adaptat nevoilor si bugetului dvs.
Related Posts
Un diagnostic precis cu ecograful premium VINNO G65
Un diagnostic precis cu ecograful premium VINNO G65 Ecograf VINNO G65 – performanta premium pentru diagnosticare Conceput pentru specialistii care urmaresc performanta si eficienta imagistica, ecograful VINNO G65, integreaza tehnologii moderne si ofera imagini clare, structuri anatomice bine delimitate si…
Citeste mai mult
Ecograful VINNO 8 utilizat in investigatii musculoscheletale
Ecograful VINNO 8 utilizat in investigatii musculoscheletale Performanta avansata intr-un sistem compact Conceput pentru investigatii complete, VINNO 8 imbina tehnologia inovatoare cu un design ergonomic si compact, fiind potrivit atat pentru cabinete medicale, cat si pentru clinici multidisciplinare.Platforma RF, dezvoltata…
Citeste mai mult
Ecograful Doppler VINNO S300 – tehnologie de ultima generatie cu functii AI
Ecograful Doppler VINNO S300 – tehnologie de ultima generatie cu functii AI Proiectat pe platforma avansata VLucid+, ecograful stationar VINNO S300 asigura imagini de inalta calitate, atat in scala gri, cat si Doppler Color, oferind suport real pentru diagnostic rapid…
Citeste mai mult
Ecograful portabil VINNO A5: Performanta color fara limite de spatiu
Ecograful portabil VINNO A5: Performanta color fara limite de spatiu Daca activitatea dumneavoastra necesita flexibilitate, ecograful VINNO A5 poate fi raspunsul. Acest sistem portabil demonstreaza ca un design compact nu inseamna un compromis in calitatea imaginii. Mobilitate si Ergonomie: Datorita…
Citeste mai mult
Ecograf VINNO Ultimus 9E – performanta maxima pentru clinicile medicale
Ecograf VINNO Ultimus 9E - performanta maxima pentru clinicile medicale Ecograful VINNO Ultimus 9E este conceput pentru specialistii care pun accent pe calitate, precizie si flux de lucru facil si integreaza tehnologii bazate pe inteligenta artificiala ce imbunatatesc considerabil calitatea…
Citeste mai multFunctia Carotid Plaque integrata pe ecografele Vinno
In acest videoclip, d-na dr. Gabriela Pop, medic radiolog si specialist in aplicatii Vinno, prezinta modul in care functia AI Carotid Plaque, integrata pe ecografele Vinno, identifica automat placile aterosclerotice si evidentiaza in timp real zonele critice. Astfel, analiza devine…
Citeste mai multEcograf VINNO S200 – solutie moderna pentru evaluari zilnice
Ecograf VINNO S200 – solutie moderna pentru evaluari zilnice Echipa Numeris Medical a finalizat cu succes instalarea ecografului VINNO S200 in cabinetul domnului dr. Ipate Florin, medic specialist cardiologie din Calarasi.In cardiologie, claritatea imaginii, stabilitatea semnalului si sensibilitatea Doppler sunt…
Citeste mai mult
Ecograf Stationar VINNO S300 – performanta si eficienta in practica zilnica
Ecograf Stationar VINNO S300 – performanta si eficienta in practica zilnica Modernizarea unui cabinet medical si imbunatatirea standardului de ingrijire al pacientilor necesita investitie intr-un ecograf performant.Ecograful VINNO S300 face parte din noua gama de ecografe distribuite de Numeris Com…
Citeste mai mult
Descoperiti ecograful VINNO R700 – precizie, eficienta si confort in diagnostic
Descoperiți ecograful VINNO R700 – precizie, eficienta si confort in diagnostic Pentru orice medic alegerea unui aparat de ultrasunete performant inseamna mai multa precizie, eficienta si siguranta in fiecare examinare. Astfel că ecograful VINNO R700 este conceput pentru clinicile si…
Citeste mai mult
Ecograf compact care transforma practica medicala zilnica
VINNO S300 – Ecograf compact care transforma practica medicala zilnica Alegerea unui ecograf performant nu mai este doar o investitie in modernizarea clinicii medicale, ci in precizia si eficienta actului medical. Ecograful VINNO S300 reprezinta o generatie moderna de ecografe,…
Citeste mai mult