Ecograf Stationar VINNO S300 – performanta si eficienta in practica zilnica
Ecograf Stationar VINNO S300 – performanta si eficienta in practica zilnica
Modernizarea unui cabinet medical si imbunatatirea standardului de ingrijire al pacientilor necesita investitie intr-un ecograf performant.
Ecograful VINNO S300 face parte din noua gama de ecografe distribuite de Numeris Com SRL, avand performante foarte bune, raportate la pretul sau.
Cu o foarte buna receptivitate in piata, VINNO S300 a fost instalat si la Centrul Medical Family Care din Tudor Vladimirescu, judetul Galati, unde d-na dr. Izabela Pintilie il utilizeaza pentru ecografii generale.



Din punct de vedere clinic, ecograful VINNO S300 include solutii dedicate examinarilor generale si nu numai, precum:
- VLuminous Flow, care permite vizualizarea tridimensionala a fluxului sanguin;
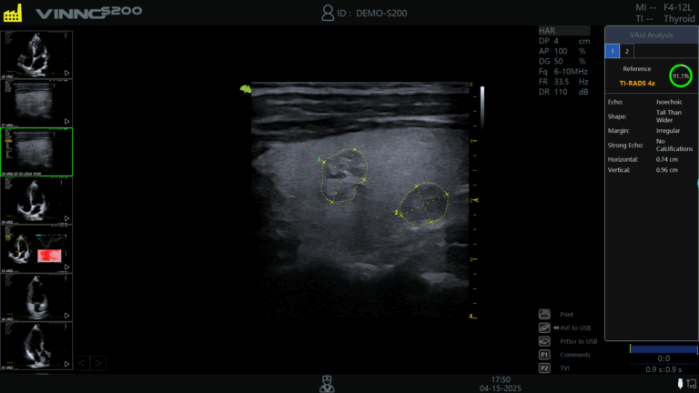
- Module cu inteligenta artificiala, precum:
VAid Thyroid – detecteaza automat nodulii tiroidieni, in timp real sau pe imagini stocate, cu incadrare TI-RADS si raportare asistata;
VAid Breast – detecteaza automat leziunile sanului si le incadreaza in scor BI-RADS;
VAid HRI – indicele hepato-renal;
VAid Carotid Plaque – detectia placilor de aterom la nivelul carotidei;
Auto EF – fractia de ejectie, cu un singur click.






Designul compact, interfata intuitiva si inteligenta artificiala integrata fac din ecograful VINNO S300 o alegere potrivita pentru cabinetele medicale si clinicile care sunt in cautarea unui echilibru optim intre performanta, cost si eficienta operationala.
Related Posts
Ecograf VINNO S200 – solutie moderna pentru evaluari zilnice
Ecograf VINNO S200 – solutie moderna pentru evaluari zilnice Echipa Numeris Medical a finalizat cu succes instalarea ecografului VINNO S200 in cabinetul domnului dr. Ipate Florin, medic specialist cardiologie din Calarasi.In cardiologie, claritatea imaginii, stabilitatea semnalului si sensibilitatea Doppler sunt…
Citeste mai mult
Descoperiti ecograful VINNO R700 – precizie, eficienta si confort in diagnostic
Descoperiți ecograful VINNO R700 – precizie, eficienta si confort in diagnostic Pentru orice medic alegerea unui aparat de ultrasunete performant inseamna mai multa precizie, eficienta si siguranta in fiecare examinare. Astfel că ecograful VINNO R700 este conceput pentru clinicile si…
Citeste mai mult
Ecograf compact care transforma practica medicala zilnica
VINNO S300 – Ecograf compact care transforma practica medicala zilnica Alegerea unui ecograf performant nu mai este doar o investitie in modernizarea clinicii medicale, ci in precizia si eficienta actului medical. Ecograful VINNO S300 reprezinta o generatie moderna de ecografe,…
Citeste mai multEcograf ultraportabil pentru cabinetul medical
Tot mai multi medici la inceput de drum cauta aparatura ultrasonografica performanta, cu o investitie minima, astfel ca ecograful ultraportabil a devenit un instrument esential pentru cabinetele medicale. Compact, rapid si usor de folosit, va permite sa efectuati investigatii precise…
Citeste mai mult
Tehnologie ultrasonografica avansata pentru clinici moderne
Ca medic, stiti ca fiecare detaliu conteaza atunci cand sunteti in fata pacientului. Un ecograf performant nu inseamna doar o imagine mai clara, ci decizii clinice mai rapide, mai sigure si mai usor de explicat pacientului. Tehnologie de ultima generatie…
Citeste mai mult
Ce aparat cu ultrasunete sa cumparati?
Atunci cand doriti sa investiti in aparatura medicala moderna, alegerea unui aparat cu ultrasunete performant este esentiala pentru a oferi pacientilor diagnostice precise si servicii de calitate. Numeris Medical va pune la dispozitie o gama variata de ecografe VINNO, recunoscute…
Citeste mai mult
Cele mai bune ecografe de achizitionat intr-o clinica medicala
Alegerea unui aparat cu ultrasunete performant este esentiala pentru orice clinica moderna. Un ecograf de ultima generatie nu doar ca asigura o mai mare precizie a diagnosticului, dar imbunatateste si fluxul de lucru al medicilor. Printre cele mai avantajoase solutii…
Citeste mai mult
Ce urmeaza sa lanseze VINNO si Numeris Medical?
Daca sunteti in cautarea unor ecografe fiabile, intuitive si echipate cu functii avansate, Numeris Medical va pregateste o lansare care merita urmarita indeaproape. In curand, doua noi modele de ecografe stationare vor intra oficial in portofoliul nostru si promit sa…
Citeste mai mult
De ce aleg medicii ecografele VINNO?
Tot mai multi medici aleg sa investeasca in ecografe performante care le pot oferi nu doar imagini de calitate, ci si siguranta in diagnostic.Iar Numeris Medical, unul dintre cei mai apreciati furnizori de echipamente medicale din Romania, continua sa fie…
Citeste mai mult
Ecograf VINNO Ultimus 9E – Precizie avansata in obstetrica-ginecologie
Pentru clinicile medicale care isi doresc performanta in obstetrica-ginecologie, ecograful VINNO Ultimus 9E seteaza noi standarde in imagistica medicala dezvoltata de Vinno. Este echipamentul ideal pentru examinari fetale complexe, ecografie 3D/4D si evaluari precise cu modurile Doppler.Cu tehnologie de ultima…
Citeste mai mult